

歯周病は、お口の中の歯周病菌によって、歯を支える歯ぐきや顎の骨が徐々に溶かされ、悪化すると歯が抜け落ちてしまうこともある病気。歯ぐきの腫れや出血から始まりますが、初期には自覚症状があまりないため、気づかないうちにどんどん進行していることも少なくありません。
実は歯周病は、日本人の成人の約8割が「すでにかかっている」、または「予備軍である」といわれているほど広まっており、最近では成人にかぎらず、小中学生にも見られるようになってきています。当院では歯周病治療に力を入れており、一人ひとりに合った丁寧な治療をご提供しています。大切な歯を守るために、できるだけ早く当院にご相談ください。
歯周病はこれまで歯槽膿漏という言葉で表されてきました。今では歯周病という言葉が一般に普及してきました。歯周病は字からもお分かりのように、歯のまわりに起こる病気です。歯のまわりにプラークや歯石がたまると歯茎が腫れ、歯と歯茎の間の隙間が大きくなります。この隙間のことを「歯周ポケット」とよびます。歯周ポケットは、歯周病原菌が繁殖するのに適した環境であり、歯周病原菌が入り込むことで、歯茎の下にある歯を支えている骨を溶かしていく病気です。

はじめのうちは、歯茎から血が出るといった症状しか示しませんが、進行すると歯がぐらつきはじめ、歯茎が腫れたり、膿が出たりするようになり、そして最終的には歯が抜け落ちてしまいます。歯周病は進行が通常はゆっくりしているため、歯茎の腫れ、出血あるいは退縮が生じたり、口の中がねばついたり、口臭が増したり、歯がぐらつくようになるなど、さまざまな症状が現れるにもかかわらず、自覚症状として気づくことが少ないのでSilent disease「沈黙の病気」と呼ばれています。

【タバコを吸う方】
タバコの煙には有害物質が含まれており、歯ぐきやお口の中の粘膜から吸収されて、歯周病を誘発・進行させます。
【よく咬まない方】
食べものをよく咬まずに丸飲みしがちな方は、自浄作用を持つだ液が分泌されにくくなり、歯周病菌が繁殖しやすい環境がつくられてしまいます。
【間食が多い方】
間食が多く、だらだら食べ続けている習慣がある方は、お口の中がいつも汚れている状態になり、歯周病菌が繁殖しやすくなります。
【ストレスが多い方】
ストレスや疲労を溜めがちな方は、免疫力が落ち、歯周病菌を始めとする様々な感染症にかかりやすくなります。

今までは、歯周病は口の中だけの問題と考えられていました。しかし最近ではその影響は全身のいたるところに及ぶといわれるようになっています。
そもそも歯周病は、歯周病菌が歯と歯茎の境目に集まることからはじまります。そして歯周病菌が出す毒素によって歯茎が炎症を起こします。歯茎は毛細血管が豊富にあるため、炎症が起こると出血しやすくなるのです。
歯周病菌は、その毛細血管などから血管に入り込み、体全体へと巡っていくのです。血管以外でも歯周病菌が唾液などに溶け込むなどして、唾液を飲み込むことによって、歯周病菌が気管や肺、食道に流れ込むことが考えられます。
歯周病の影響がリスクとなって、影響を与える可能性がある疾患は、主に次のようなものがあります。
心臓血管疾患
歯周病患者では、心筋梗塞や脳卒中などの心臓血管疾患を発症するリスクが高いことが指摘されています。
これは、歯周組織から分泌される炎症性サイトカインや歯周病原因菌の内毒素が入り、動脈硬化の進行に関与するためだと考えられています。2007年の報告では、歯周病治療後6カ月間は血管の拡張が進行したというレポートが発表され大変注目を集めています。
肺炎
高齢者、認知症、脳血管障害患者や、手術後などの状態では 嚥下(えんげ)反射と咳反射が低下して 歯周病原菌やその他の口腔内細菌が肺に入りやすく、誤嚥性肺炎を発症することがあります。
口腔衛生状態と誤嚥性肺炎には深い相関性があり、予防のためには、口腔内を清潔に保つことがとても大切です。寝たきりから死亡に至るほとんどのケースは、これら口腔内細菌が原因の誤嚥性肺炎と言われています。
糖尿病
歯周病は糖尿病の第6の合併症と言われ、糖尿病患者では歯周病の発症や進行のリスクが高いことがわかっています。これは、歯周組織においても、免疫機能の低下、代謝の異常、微小血管障害などが起こり、歯周病原菌に感染しやすく、組織の破壊が起こりやすくなるためだと考えられています。
また、最近では、歯周病も糖尿病へ影響を及ぼすと考えられるようになってきました。糖尿病患者の歯周病を治療することで血糖コントロールが改善し、血中HbA1c濃度がおよそ1%低下されるとの報告もあります。これは、歯周組織から分泌される炎症性サイトカインが抑制されて、インスリン抵抗性が改善されるためと考えられます。
早産・低体重児
重い歯周病に罹患した妊婦では早産による低体重児を出産するリスクが高くなるという報告があります。これは、歯周組織から分泌される炎症性サイトカインやプラスタグランジンが子宮の収縮を促進し、早産になりやすくするためだと考えられています。

認知症には種類がありますが、最も多いのが「アルツハイマー型認知症」です。アルツハイマー型認知症は、脳に「アミロイドβ」というたんぱく質が蓄積されることによって発症するとされています。
通常、アミロイドβは分解されて排出されるのですが、何らかの理由で排出されずに蓄積してしまうと、脳の情報伝達が悪くなり、脳の機能が低下してしまうのです。進行すると、タウという異常なたんぱく質が溜まって、神経細胞を死滅させてしまいます。
認知症を防ぐためには、アミロイドβの蓄積を防ぐ必要がありますが、歯周病菌がアミロイドβの生成・蓄積を促進させることがわかりました。歯を守るだけでなく、ご自身の健康を守るために徹底した歯周病予防を行っていただきたいと思います。
発症因子「アミロイドβ」が歯周病菌によって蓄積量が10倍に
歯周病菌によってカテプシンBという酵素が増え、アルツハイマー型認知症の発症因子である「アミロイドβ」の受容体(受け皿)が増えることによって、認知症の発症・症状悪化を招くことが、九州大学や北京理工大(中国)などの研究チームによって明らかとなりました。
近年、認知症と歯周病の関係に関する報告が多数なされてきましたが、この研究によって、歯周病菌が全身に運ばれ、受容体カテプシンBが増えることによって、アミロイドβが生成・蓄積されるというメカニズムが明確になりました。
歯周病、あなたは大丈夫ですか? まずはこちらでセルフチェックしてみましょう。
今のところ問題はありません。健康な状態を維持できるよう予防に励みましょう。
軽度歯周炎にかかっている可能性があります。進行をストップさせるために、できるだけ早くご来院ください。
中等度歯周炎にかかっている可能性があります。これ以上悪化させないために、すぐにご来院ください。
重度歯周炎にかかっている可能性があります。歯を失ってしまわないよう、早急にご来院ください。
ペリオシステム
みなさまのお口の中に関する疾患と
口腔内細菌が影響する全身疾患がなくなり
健康寿命が延伸すること
また食べることの喜び
そして人生を楽しむ未来造りの
お手伝いをいたします
レントゲン検査(必要に応じてCT撮影)、歯ぐきの溝の深さを測る精密な歯周病検査、磨き残しチェック、唾液検査、むし歯になりやすいかの評価などを行います。
治療内容をわかりやすくご説明します。歯周病は、噛み合わせや食いしばりがあると悪化するため、必要に応じて就寝時に装着するマウスピースを導入します。
ブラッシング指導を行います。一生役立つ予防の知識や、お一人おひとりに適した歯磨き器具の選び方、使い方をマンツーマンでレクチャーします。
レントゲン撮影など必要な検査を再び行って、再評価します。
1本1本の歯を丁寧に、徹底的にきれいにしていきます。エアフロー(超微粒子パウダーを歯の表面に吹き付ける機械)を使用して歯石を取り残すことなく精密に取り除き、歯を傷つけることなく再発しにくいケアを行うことができます。
再び検査を行い、改善の程度を確認します。

歯周病の改善が見られた後は予防治療に移行して、定期的なメンテナンスをおすすめしています。当院では、より精度の高いメンテナンスをご希望の患者様に、マイクロスコープで行うスペシャルメンテナンスを用意しています。
メリット
細かいところまで歯垢の除去ができる
デメリット
時間がかかる
所要時間
90分
スペシャルメンテナンスの内容
〇歯の磨き残しチェック
〇エアフロー(超微粒子パウダーを歯の表面に吹き付ける機械)を使用した歯を傷つけないクリーニング
〇歯の表面を保護するためのトリートメント
〇歯科衛生士による歯磨き方法のレクチャー


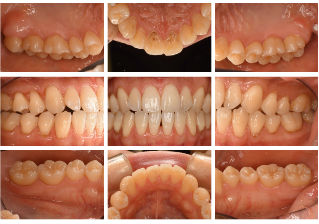
口腔内の状態を記録、診断し、治療計画を立てるために撮影します。
患者さん自身の口腔内の状態を視覚的に示すことで、歯周病治療の重要性を理解しやすくします。


歯周病の進行度を把握するためにプラークの付着量、歯周ポケットの深さ、出血の有無、歯の動揺度などを検査します。
※歯周病の進行度合いによって少し痛みを伴うことがあります。


オルコアによるP.g菌検査
口腔内の微生物や歯周病菌の検出ができます。P.g菌、T.d菌、T.f菌、またカンジタ菌や真菌などが観察されます。
とくにP.g菌は、歯周病の主な原因菌となるグラム陰性嫌気性桿菌です。口腔内の健康に大きな影響を及ぼし様々な内科的疾患にも関与しています。


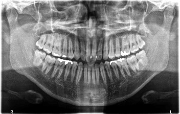
歯の状態や、歯を支える歯槽骨の状態、骨吸収の範囲と程度を検査します。
CT検査は立体的に歯槽骨の状態を診ることができるので、通常のレントゲンで顕著な骨吸収が診られた場合に撮影します。
自由診療の検査費用となります
診査、分析に基づき、診断いたします
治療はそれ以降となります
東北大学の菅野太郎教授らは、歯周病の原因療法と対症療法の双方に新しいテクノロジーでアプローチする「NEW DESIGNED PERIODONTAL THERAPY」を提唱し、約17年の歳月をかけて研究・開発を行いました。
「ブルーラジカル P-01」は、重度歯周病をターゲットとした非外科的治療法として、世界で初めて実用化されました。厚生労働省の医療機器認定において、「歯周治療・歯周炎・歯周ポケットの殺菌・スケーリング」と明記された初めての歯周病治療器です。
従来の治療法と比較して、歯周ポケットを優位に減少させることを治験で証明した唯一の治療器でもあります。そのため、この新しい歯周病治療器は「歯周炎のステージⅢ・Ⅳの患者に対して、歯周ポケット内の殺菌と同時にスケーリングを行う」という明確な使用目的と、「歯周ポケットの減少」にコミットする初めての治療器です。

Blue Radicalのメカニズムは、過酸化水素にレーザー青色光を照射してラジカル殺菌を成立させます。これを従来の超音波振動と同時に、歯周病が進んでいる歯周ポケットの中でラジカル殺菌を行うため、歯周病の原因となる細菌を効果的に殺菌・除去します。歯周外科ではありませんので切開や縫合を必要としないため、治療後の回復も早いという利点があります。
ブルーラジカルP-01は超音波振動と青色レーザーを使用した治療法で、99.99%の殺菌効果を発揮します。この効果は3ヶ月間持続しますが、定期的なメンテナンスやちゃんとした歯磨きが必要です。
局所麻酔下で行われるブルーラジカルP-01の治療は、痛みが少なく、患者さんにとってストレスも軽減されます。保険適用の歯茎治療よりも高い効果を発揮し、短期間での治療が可能です。

のメカニズム
Blue Radicalのメカニズムは、過酸化水素にレーザー青色光を照射してラジカル殺菌を成立させます。これを従来の超音波振動と同時に、歯周病が進んでいる歯周ポケットの中でラジカル殺菌を行うため、歯周病の原因となる細菌を効果的に殺菌・除去します。歯周外科ではありませんので切開や縫合を必要としないため、治療後の回復も早いという利点があります。
ブルーラジカルP-01は超音波振動と青色レーザーを使用した治療法で、99.99%の殺菌効果を発揮します。この効果は3ヶ月間持続しますが、定期的なメンテナンスやちゃんとした歯磨きが必要です。
局所麻酔下で行われるブルーラジカルP-01の治療は、痛みが少なく、患者さんにとってストレスも軽減されます。保険適用の歯茎治療よりも高い効果を発揮し、短期間での治療が可能です。
医療法人社団 栄友会ではいち早くこちらのブルーラジカル P-01を導入いたしました。
テレビを見てご興味を持たれた方も多いようです。
お問い合わせが増加しております。
是非お気軽にご相談ください。
劇的に生活が変わるかもしれません。
